Hoidon lopussa:
Potilaana on nainen, jonka hampaisto on kulunut pitkäaikaisen narskuttelun ja happorasituksen johdosta. Takahampaissa on isoja laajoja paikkoja.Potilaalla on subjektiivisia leukaniveloireita madaltuneesta purennasta johtuen.
Pehmytkudosprofiili on madaltuneesta purentatasosta johtuen painunut kasaan vanhentaen ilmettä.
Hoidon kulku:
Hoito suunniteltiin kipsimalleilla. Korotetusta purennasta teetettiin kipsimallit.
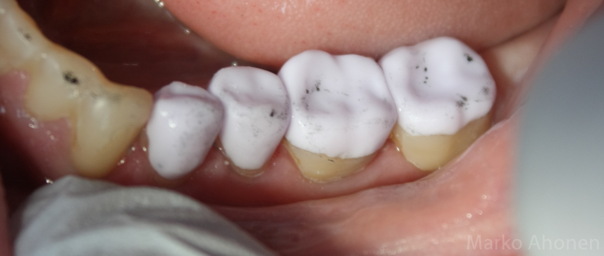
Purenta korotettiin aluksi väliaikaisella muovilla, jolloin potilas sai totutella uuteen purentakorkeuteen ennen lopullisia keraamisia hampaita.
Potilaan totuttua uuteen purentaan, pystyttiin lopullinen hoito tekemään yhdessä viikonlopussa valmiiksi. Potilaalle valmistettiin purentakisko hoidon päätteeksi suojaamaan hampaistoa.
Välivaiheita:
























































