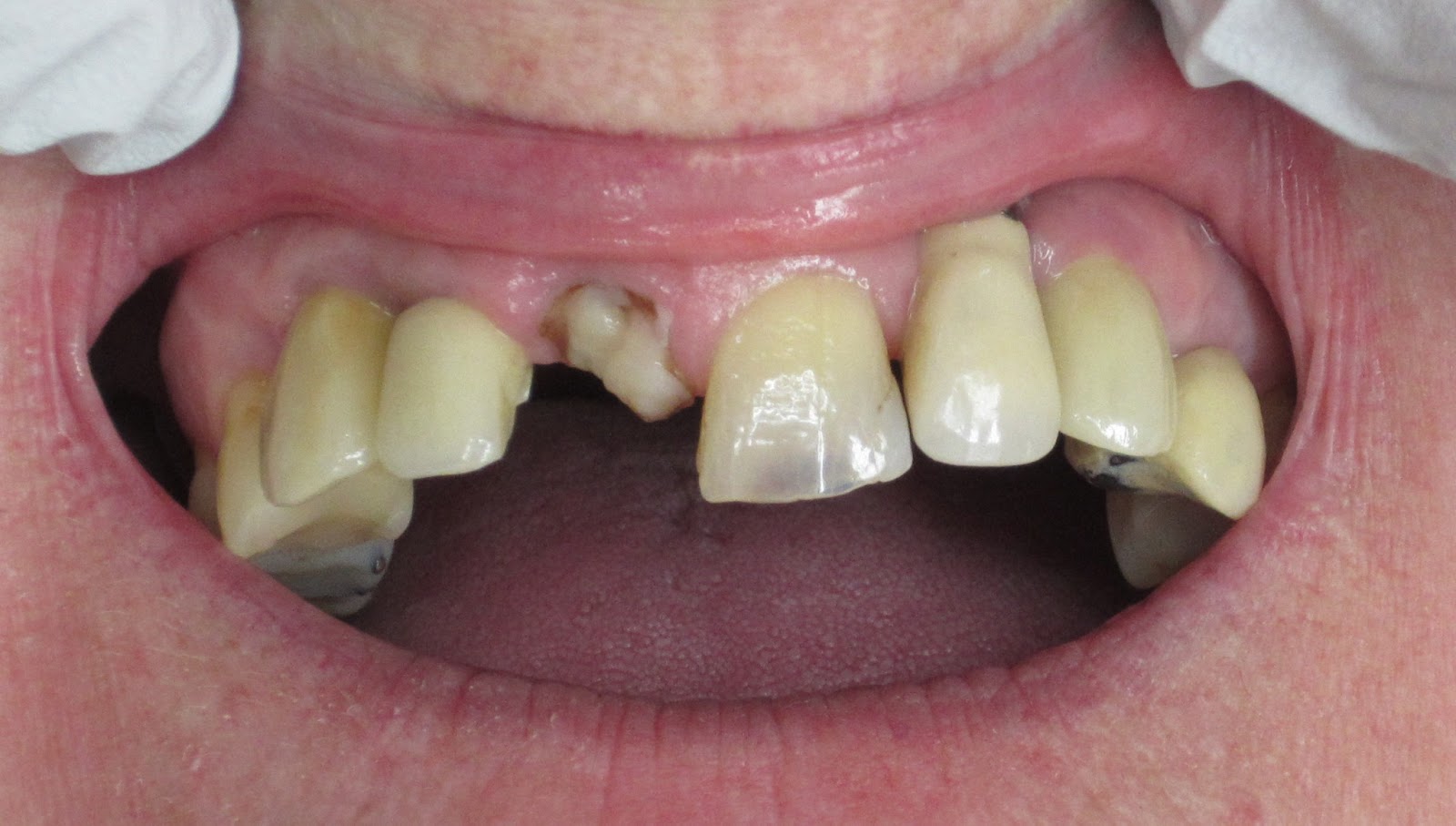
Potilaalla laajasti muovilla paikattu etuhammas joka lohkesi laajasti leipää syödessä.
Hammas juurihoidettiin kerralla kuntoon retention saamiseksi lauantain akuuttikäynnillä(hampaan juuri oli vielä elossa niin juurihoito pystyttiin suorittamaan kerralla kuntoon).
Sunnuntaina juureen rakennettiin Sticktechin kuitunasta ja muovipilari (kuvassa ientä työnnetään syrjään Astringent retraktiopastalla kuvausta varten):
Keraamisen hampaan muoto suunniteltiin viereisen hampaan muotoja mukaillen.
Välivaihe sovitettuna suussa:
Valmis karakterisoitu (A2 LT E-Max) kruunu suussa sementoituna (samalla viereisen etuhampaan kärjen takareunan lohkeama poistettu). Kyseisen kruunun tekoon meni juurihoidon jälkeen 2h.
Blogi sisältää hammaslääketieteellisiä potilastapauksia toteutettuna Sironan Cerec laitteella käyttäen CAD/CAM teknologiaa. Keraamiset paikat, hampaat ja laminaatit suunnitellaan tietokoneella, jyrsitään, maalataan ja poltetaan uunissa potilaan odottaessa. koko hoito on yleensä valmista yhdellä käyntikerralla. Kaikista hoidoista vastaa HLL Marko Ahonen. Työskentelen Hämeenlinnan Oma Hammaslääkärisi-asemalla ja Tampereen Oraltiimissä.
keskiviikko 27. maaliskuuta 2013
perjantai 22. maaliskuuta 2013
Erosiivisten ja kuluneiden hampaiden kuntoutus vaihe 1: Väliaikaiset hampaat
Potilaalla voimakkaan kuluneet ja hapon syövyttämät hampaat. Leukanivelen toiminta normaali. Konsultaatiokäynnillä otettiin valokuvat ja alkumallit. Purenta takahampailla vielä hyvä.
Etenkin ylähampaissa hampaiden hermot kuultavat läpi. Kaikki hampaat kuitenkin elossa eikä suurempia vihlomisia ole edes ollut.
Kipsimallit alkutilanteesta:
Teknikolta tilatut anatomiset vahaukset hampaiden päälle:
Vakuumimuotit vahattujen hampaiden mukaan:
Etenkin ylähampaissa hampaiden hermot kuultavat läpi. Kaikki hampaat kuitenkin elossa eikä suurempia vihlomisia ole edes ollut.
Kipsimallit alkutilanteesta:
Teknikolta tilatut anatomiset vahaukset hampaiden päälle:
Vakuumimuotit vahattujen hampaiden mukaan:
Hampaita hiomatta potilaalle siirrettiin vahattujen hampaiden muodot muovista väliaikaiseksi kokeiluun ja uusiin hampaisiin tottumiseen:
Näillä puolessa tunnissa tehdyillä yksivärisillä väliaikaisilla (A3 Voco Structur muovi) potilas totuttelee hampaiden muotoon ja purentaan. Jatkoa seuraa kun näitä väliaikaisia aletaan vaihtamaan keraamisiin hampaisiin.
Suunnitelmana vaihtaa kaikki etuhampaat keraamisiin Cerecillä (kestävyyden ja esteettisyydeen takia) muutamassa erässä.Tällöin hampaita hiotaan hieman. Etuhampaissa ylhäällä keramiat tehdään siltarakenteena kulmahampaasta etuhampaaseen molemmilla puolin rakenteen kestävyyden takia. Muoto kopioidaan näistä väliaikaisista tai kipsimalleilta.
Jatkoa seuraa!
Ps. kuvanlaatu hieman heikko kun jouduin turvautumaan varapokkariin.
keskiviikko 13. maaliskuuta 2013
Haastavampi esteettinen etualueen työ yhdellä kerralla valmiiksi
Potilas halusi esteettistä parannusta yläetualueeseen. Erityisesti häiritsi yksi rivistä ulkona oleva hammas, hampaiden tummuus ja eriväriset paikat.
Yläetualueen neljä etummaista hammasta dd.12-22 juurihoidettuja useita vuosia sitten. Hampaat tummuneet rajusti ja hampaissa useita epäesteettisiä muovipaikkoja. Hammaskaarella ahtautta ja d.12 lähes täysin ulkona rivistä.
Röntgenissä juurentäytteet siistit ja hyvin suojatut. Juurenpäät katkaistu (resekoitu aikaisemmin) dd.12 ja 11. Juurentäytteiden kunto ja tiiviys varmistettiin koeporauksella lukuunottamatta d.22 jossa kiinteä ruuvi sisällä.
Päätettiin tehdä d.12 kuitunastapilari jolla saadaan osittain hammas takaisin riviin.
Lisäksi päätettiin yhdistää kakkoshampaat ykköshampaisiin kestävyyttä parantamaan (vanhat laajasti paikatut juurihoidetut hampaat haurastuvat huomattavasti). Potilas halusi ja ymmärsi että rivistä ulkona olevaa hammasta ei ihan kokonaan saada riviin.
D.12 kuitunastapilari tekeillä ja hionnat vaiheessa
Kruunuhionnat
Cerecillä suunnitellut hampaat, kaksi erillistä siltayksikköä jossa kakkoset ovat kiinni ykkösissä.
Päällekkäin kuvattuna alku- (harmaalla) ja lopputilanne (vaaleampana). Etenkin d.12 siirretty taaksepäin, samalla dd.11 ja 21 hieman kavennetty jotta saatu d.12 lisää tilaa. d.22 hieman pullistettu symmetrian lisäämiseksi.
Jyrsityt kahden yksikön hampaat
Maalatut hampaat menossa uuniin
Valmiit hampaat uunista ja suuhun sovitettuna A2 bl40 (+3 High value try-in pastalla). Juurten tumma sävy kääntää hampaiden värin vielä liian harmaaseen. Päädyttiin vielä valkaisemaan pilarit ennen sementoimista.
Hampaat sementoituna suuhun, ikenet vielä ärtyneet hoidosta.
Hoito toteutettiin yhdellä käyntikerralla alusta loppuun asti valmiiksi.
tiistai 12. maaliskuuta 2013
Laajasti paikattu juurihoidettu d.46 ja hammasväli johon kertyy ruokaa
Potilaan d.46 laajasti paikattu, useaan kertaan lohkeillut ja ruoka kertyy häiritsevästi hampaan molemmille puolille
Alkutilanteessa potilaan juuri syömästä purukumista edelleen osa hampaan takareunassa kiinni. Kuvaa hyvin kyseistä ongelmaa. Huonot paikat kerryttävät ruokaa hammasväleihin, aiheuttavat jatkuvan ientulehduksen ja usein johtavat hampaiden reikiintymiseen.
Keraaminen E-max endokruunu (A3 HT) jolla hampaan kestävyys moninkertaistuu ja hammasvälit saatu anatomisiksi jotta ruoka ei jää kiinni.
maanantai 11. maaliskuuta 2013
Laajoja paikkoja, lohkeamia, huonoja hammasvälejä ja reikiä
Potilaalla laajasti paikatut takahampaat oikealla ylhäällä.
Viimeisessä hampaassa d.17 iso vanha muovipaikka jonka alla kauttaaltaan karies.
D.16 laaja amalgaamipaikka, josta aikaisemmin lohjennut kitalaen puoli kokonaan pois ja tämä korvattu muovilla joka lohkeillut.
d.15 laaja useita vuosia sitten tehty muovipaikka ja reikä takareunassa
Kahden takimmaisen suunnittelukuvat, purenta saadaan erittäin tarkasti tehtyä vastaleuan hampaiden mukaan
D.15 hionnasta kuva
Kolmeen viimeisimpään hampaaseen tehdyt osakruunut sementoituna yhdellä käynnillä.
sunnuntai 10. maaliskuuta 2013
Keraaminen silta: puuttuvan hampaan korvaaminen ja hampaiden asennon korjaaminen
Alkutilanteessa d.35 jouduttu poistamaan useita vuosia sitten. Tämän johdosta viereiset hampaat kallistuneet aukkoa kohden tehden ylimääräisiä rakoja hammaskaarelle. Yläpuolen hampaat ylipuhjenneet aukon kohdalla.
Sovituksen jälkeen silta kiillotetaan, maalataan, poltetaan uunin 850asteessa jonka jälkeen silta on valmis.
Valmis silta suuhun sementoituna toteutettuna samalla hoitokerralla alusta loppuun asti. Materiaalina E-max (A2 HT).Huomaa myös toisen puolen kaksi takahammasta jotka toteutettu samalla kerralla toisessa blogipostauksessani.
Röntgenissä d.36 juurihoidettu ja kovassa purentarasituksessa (luu
hampaan ympärillä reagoi kallistuneeseen hampaaseen kohdistuvaan vinoon purentavoimaan).
Laitteella suunniteltu kolmen hampaan silta suoraan jyrsimestä. Tämä aihio viimeistellään käsin ja tehdään tarkimmat pinnan muodot poralla.
Sillan sovitus suuhun ja purentaan.
Sovituksen jälkeen silta kiillotetaan, maalataan, poltetaan uunin 850asteessa jonka jälkeen silta on valmis.
Tilaa:
Blogitekstit (Atom)